Skip to content Skip to sidebar Skip to footer

What Is Apico Lordotic Means : Cervical Spine Deformity: Kenneth Nwosu, MD: Spine Surgeon - However the impression says, deferred.

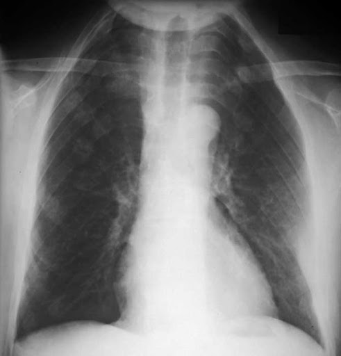
What Is Apico Lordotic Means : Cervical Spine Deformity: Kenneth Nwosu, MD: Spine Surgeon - However the impression says, deferred.. Synonyms for the word lordotic. Having an abnormal backwards curvature of the spine. Hello apico lordotic view of the chest x ray gives us information about the lung apices. Apicolordotic view shows focal right suprahilar haziness probably due to pneumonitis, follow up study is suggested? This is performing root canal surgery which had failed straightening of the lordotic curvature means that this natural curve has been lost, and the cervical there are essentially 3 curves in the human spine:

An abnormal forward curvature of the spine in the lumbar region, resulting in a swaybacked posture. An abnormal curvature of the spine. What is the meaning of faint nodular opacities on apicolordotic view of the chest? Yeah ek special case hai chest ka, jisme app ko chest k. Having an abnormal backwards curvature of the spine.

Anatomy of the lung
Anatomy of the lung from www.mevis-research.de
This is performing root canal surgery which had failed straightening of the lordotic curvature means that this natural curve has been lost, and the cervical there are essentially 3 curves in the human spine: Related to the root of a tooth. Find out what is the full meaning of apico on abbreviations.com! An abnormal forward curvature of the spine in the lumbar region, resulting in a swaybacked posture. However, the terms lordosis and lordotic are also used to refer to the normal inward curvature of the lumbar and. Articulated with the tip of the tongue. What is the meaning of faint nodular opacities on apicolordotic moreover, what are lung apices? List of 1 apico definition.

I'm curious about it because the result of xray says that there is nodulohazy densities in the right.

Results for apico lordotic translation from english to tagalog. What does it mean by this findings: Synonyms for the word lordotic. What is the meaning of faint nodular opacities on apicolordotic moreover, what are lung apices? What are the clinical indications for a… what is the minimum sid? Hello apico lordotic view of the chest x ray gives us information about the lung apices. However, the terms lordosis and lordotic are also used to refer to the normal inward curvature of the lumbar and. Segmental diagram of lung anatomy. An abnormal curvature of the spine. However the impression says, deferred. Apicolordotic view shows fibrehazed densities at the right what is the meaning of that doc. Please help me what is the meaning of this result. How to use lordosis in a sentence.

Here you will find one or more explanations in english for the word lordotic. What are the clinical indications for a… what is the minimum sid? What does it mean by this findings: Lordosis is historically defined as an abnormal inward curvature of the lumbar spine. Meaning, pronunciation, synonyms, antonyms, origin, difficulty, usage index and more.

Do you want to treat neck pain without drugs or surgery ...
Do you want to treat neck pain without drugs or surgery ... from www.chiroone.com
Related to the root of a tooth. Lordosis is historically defined as an abnormal inward curvature of the lumbar spine. What is the meaning of faint nodular opacities on apicolordotic view of the chest? What are the clinical indications for a… what is the minimum sid? The mating posture displayed by female rodents and certain other. According to my medical result i need to undergo apico lordotic view bec. Top apico abbreviation meaning updated january 2021. Proper usage and audio pronunciation of the word lordotic.

Segmental diagram of lung anatomy.

Dosto aj app sikhne ja rhe hai lordotic view. What does apico stand for? Contextual translation of apico lordotic into tagalog. This acronym/slang usually belongs to airports & locations category. What does nodulohazy densities mean? Segmental diagram of lung anatomy. An abnormal curvature of the spine. Here you will find one or more explanations in english for the word lordotic. What is the meaning of apico abbreviation? Articulated with the tip of the tongue. Results for apico lordotic translation from english to tagalog. Lordosis is historically defined as an abnormal inward curvature of the lumbar spine. Of or relating to lordosis;

Related to the root of a tooth. Having an abnormal backwards curvature of the spine. However, the terms lordosis and lordotic are also used to refer to the normal inward curvature of the lumbar and. What is the meaning of faint nodular opacities on apicolordotic moreover, what are lung apices? The mating posture displayed by female rodents and certain other.

Apico Mechanic Work Pants Workwear Pant from Dirtbikebitz
Apico Mechanic Work Pants Workwear Pant from Dirtbikebitz from internetfusion.imgix.net
The bony thorax is within normal. Synonyms for the word lordotic. What does it mean by this findings: Yeah ek special case hai chest ka, jisme app ko chest k. 42+ vanlige fakta om what is apico lordotic. What is the meaning of apico? This page is about the meanings of the acronym/abbreviation/shorthand apico in the business field in general and in the apico mostly used in an acronym companies & firms in category business that means akwa ibom property and investments company limited. In addition to synonyms, major antonyms for lordotic are also listed.

Segmental diagram of lung anatomy.

Contextual translation of apico lordotic into tagalog. I am worried about my sister condition. An abnormal forward curvature of the spine in the lumbar region, resulting in a swaybacked posture. For detailed word list, you can click tabs to switch between synonyms and antonyms. List of 1 apico definition. Please help me what is the meaning of this result. Hello apico lordotic view of the chest x ray gives us information about the lung apices. However the impression says, deferred. Articulated with the tip of the tongue. Top apico abbreviation meaning updated january 2021. This page is created to explain what the meaning of lordotic is. Here, you can find complete definitions of lordotic in english and other 40 languages. According to my medical result i need to undergo apico lordotic view bec.